Truth in beauty and beauty in layers...
About spectral CT
Cases
About blogger and HCMC
More reading
Truth in beauty and beauty in layers...
About spectral CT
Cases
About blogger and HCMC
More reading
Cases
A case of focal infiltrate
Gopal Punjabi
April 5, 2018
A case of a lung infiltrates
Gopal Punjabi
April 5, 2018
See the invisible!
Gopal Punjabi
April 3, 2018
LV aneurysm with thrombus
Gopal Punjabi
March 30, 2018
Comment
Stab wound with active extravasation
Gopal Punjabi
March 29, 2018
Comment
Low contrast dose neck CTA
Gopal Punjabi
March 27, 2018
Comment
GI bleed
Gopal Punjabi
March 27, 2018
Spontaneous renal artery dissection
Gopal Punjabi
March 24, 2018
Comment
Pleural effusion
Gopal Punjabi
March 23, 2018
Pancreatic cancer
Gopal Punjabi
March 22, 2018
Comment
Urothelial mass
Gopal Punjabi
March 22, 2018
Comment
Left atrial appendage clot
Gopal Punjabi
March 22, 2018
Comment
Intrahepatic biliary calculi
Gopal Punjabi
March 19, 2018
Comment
Low-contrast dose CT PE
Gopal Punjabi
March 15, 2018
Myocardial infarction
Gopal Punjabi
March 15, 2018
Comment
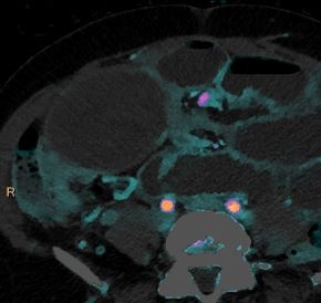
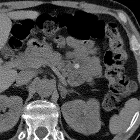
Adrenal "incidentaloma"
Gopal Punjabi
March 15, 2018
Comment
Internal hernia with necrotic colon
Gopal Punjabi
March 15, 2018
Comment
Spleen injury
Gopal Punjabi
March 13, 2018
Necrotic fibroid
Gopal Punjabi
March 12, 2018
Comment
Jejunal hyperdensity
Gopal Punjabi
March 12, 2018
Comment
Newer
Older