Truth in beauty and beauty in layers...

Cases

Pleural effusion

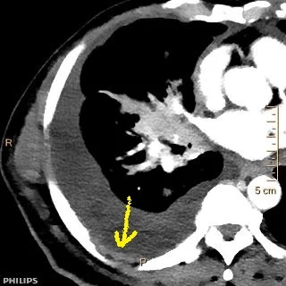
67 yo M presented with cough and shortness of breath. Conventioanl CT shows large right pleural effusion. On 40 keV image, large pleural nodule becomes obvious. Note the central mass.

Subsequent workup confirmed malignant pleural effusion, and a large sigmoid colon mass was discoveed on abdominal CT.

Conventioanl CT shows large pleural effusion on the right. Note the central mass.

Conventioanl CT shows large pleural effusion on the right. Note the central mass.

40 keV image clearly depicts the pleural tumor deposit.

40 keV image clearly depicts the pleural tumor deposit.

Susequent CT shows large sigmoid colon mass (circled).

Susequent CT shows large sigmoid colon mass (circled).

Gopal Punjabi