Truth in beauty and beauty in layers...

Cases

See the invisible!

56 yo F presents with abdominal pain. Routine CT shows inflammation about the gallbladder, but no stone. On spectral analysis, a gallstone is clearly visible!

The reason for this is simple, the density of the gallstone and bile are nearly identical at the Kev used for conventional CT (about 70 keV, which is the typical output of a 120 kVp X-ray tube), but significantly different at higher and lower energies, as demonstrated on spectral curves. The atomic number of bile and gallstone are also clearly different.

Ultrasound confirmed the gallstone lodged in the neck of the gallbladder. patient was taken to surgery where acute cholecystitis was confirmed.

Conventional CT shows inflammatory changes around the gallbladder, but NO gallstone

Conventional CT shows inflammatory changes around the gallbladder, but NO gallstone

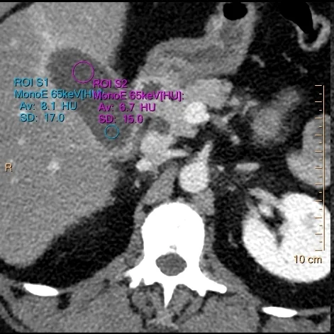
ROI placed over expected location of gallstone (blue) and bile (magenta) on convantional CT show nearly identical density (8.1 vs 6.7 HU)

ROI placed over expected location of gallstone (blue) and bile (magenta) on convantional CT show nearly identical density (8.1 vs 6.7 HU)

Spectral curves show the density of gallstone and bile is nearly identical at 70 keV (yellow line), but diverges at higher and lower keV

Spectral curves show the density of gallstone and bile is nearly identical at 70 keV (yellow line), but diverges at higher and lower keV

Gallstone seen as negative density on 40 keV image

Gallstone seen as negative density on 40 keV image

Gallstone seen as positive density on 200 keV image

Gallstone seen as positive density on 200 keV image

Spectral curves show clearly different Z-effective of the gallstones (blue) and bile (magenta)

Spectral curves show clearly different Z-effective of the gallstones (blue) and bile (magenta)

Ultrasound confirms stone lodged in neck of gallbladder. Note wallthickening and edema.

Ultrasound confirms stone lodged in neck of gallbladder. Note wallthickening and edema.

Gopal Punjabi