Truth in beauty and beauty in layers...

Cases

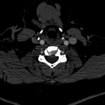
Low contrast dose neck CTA

27 yo F with eGFR of 24 ml/min/1.73m2. Neck CTA requested for concern of vertebral artery dissection. A low-contrast neck CTA performed, with 60% contrast saline mix. A total of 24 mL contrast and 16 mL saline injected at 4.0 mL/sec using power injector. Typical contrast dose for a neck CTA at our institute is about 50 mL.

Conventional CT shows poor enhancement in the carotid and vertebral artery (<200 HU). 40 keV image shows excellent enhancement. No vertebral artery dissection or other abnormality was discovered and patient was discharged.

Lower keV images can be used to reduce contrast dose while preserving diagnostic vascular enhancement.

Conventional CT with poor enhancement

Conventional CT with poor enhancement

40 keV image shows excellent enhancement and visualization of the neck arteries

40 keV image shows excellent enhancement and visualization of the neck arteries

Gopal PunjabiComment