Truth in beauty and beauty in layers...

Cases

Lung nodule: Spectral and volumetric.

A 50 year old female shows up for screening mammogram. My colleague picks up a 9 mm nodule in the right breast. Biopsy shows invasive carcinoma. As part of workup patient undergoes a chest CT with contrast, which shows a 1 cm non-calcified nodule in the left lower lobe.

Now what?

Spectral CT shows that this nodule has no iodine uptake or enhancement. This is highly suggestive of a benign etiology. This paper from 2008 is a great reference, and you can find additional references here and here. Followup was recommended, and 7 months later (delayed because of the small issue of a virus) the nodule is unchanged. In the interval, patient has had an uncomplicated lumpectomy and node dissection.

On volumetric analysis, the nodule is unchanged on the follow up scan. This really increases my confidence as well.

Screening mammogram showing breast nodule. No, there is no way I would have seen it.

Screening mammogram showing breast nodule. No, there is no way I would have seen it.

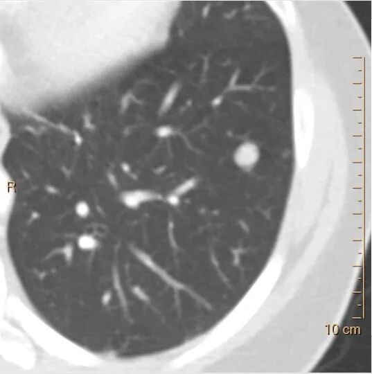
Noncalcified nodule in left lower lobe.

Noncalcified nodule in left lower lobe.

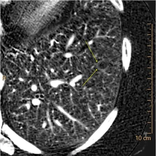
Iodine map shows no uptake in this nodule. Notice ring of iodine uptake around nodule (yellow arrows), something I see commonly in benign nodules.

Iodine map shows no uptake in this nodule. Notice ring of iodine uptake around nodule (yellow arrows), something I see commonly in benign nodules.

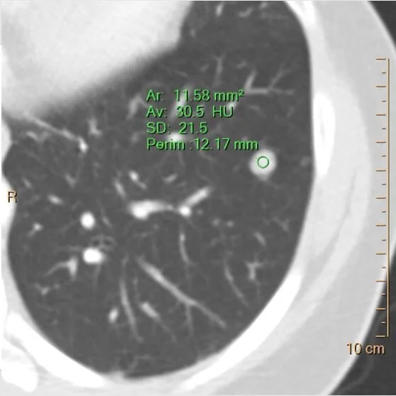
Nodule is about 30 HU on conventional CT…

Nodule is about 30 HU on conventional CT…

…and about 26 HU on virtual non-contrast. So there is no enhancement.

…and about 26 HU on virtual non-contrast. So there is no enhancement.

And no iodine uptake on measurement.

And no iodine uptake on measurement.

About 575 cubic mm on baseline scan using volumetric analysis.

About 575 cubic mm on baseline scan using volumetric analysis.

Essentially unchanged on follow up!

Essentially unchanged on follow up!



Gopal PunjabiComment