Truth in beauty and beauty in layers...

Cases

"I want to have my life back."

Elderly female presents with fall. On workup, she is short of breath, and found to be in hypoxic respiratory failure. No infectious symptoms. She has a history of lung nodule suspicious for cancer, which she has (smartly) refused treatment for, in her advanced age.

Bilateral effusions and infiltrates on CT scan. Pleural fluid was exudative. Echo shows normal LV function. It was felt that the infiltrates and effusions were probably malignant. Palliative care consulted, note that patient enjoys the social opportunities at her apartment, playing bingo and visiting, going shopping, going out to dinner with friends and family. She does not want aggressive measures.

Patient goal: “I do not want to just be here, I want to have my life back.”

The scene does not fit, I think, that much cancer would be odd without architectural distortion, and where are the lymph nodes?. On review of the CT scan, I notice that the infiltrates are intensely enhancing, and look more like atelectasis. The effusions look simple. And the liver is dense. On iodine map, there is intense iodine uptake in the liver….but there is no contrast in the aorta.

Finally, it clicks. I ask if that patient is on amiodarone, and the answer is yes. The liver has iodine uptake, from amiodarone, NOT contrast uptake! A quick non-contrast CT confirms that the lung “infiltrates” also have intense iodine deposition. The nodule in her left lower lobe (the known cancer) does not have iodine uptake, and stands out in collapsed lung.

This is probable amiodarone toxicity! The pulmonologist stop the drug, and starts her on steroids. I meet with the patient a few weeks later, and am delighted to hear her say she feels so much better. She has now gone back to her apartment, and looks forward to the birth of her great-grandson, expected shortly.

Amiodarone toxicity has been very well described, and takes many forms. Deposition does not equal toxicity, of course, and this would be a rather unusual manifestation, but makes sense, especially given the remarkable improvement after stopping the medication.

Without spectral CT, and the ability to show “iodine” deposition, this diagnosis would not be possible. Maybe in a small measure, radiology helped her get her life back.

Conventional CT: Bilateral infiltrates and effusions

Conventional CT: Bilateral infiltrates and effusions

Iodine map: intense uptake in the “infiltrates”

Iodine map: intense uptake in the “infiltrates”

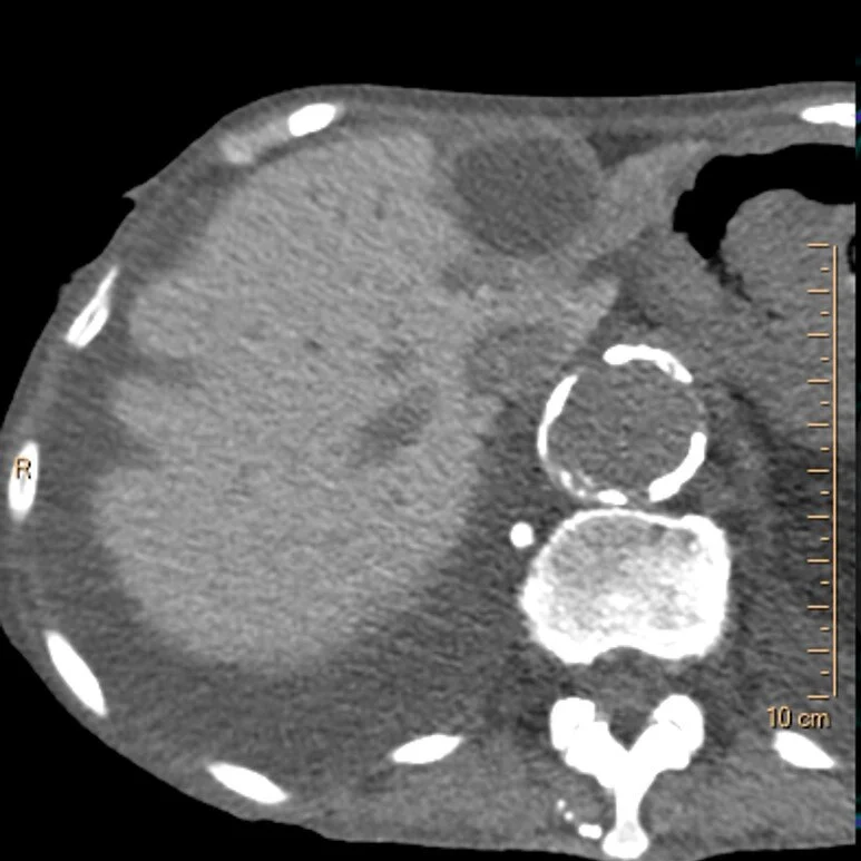
Conventional CT: Hyperdense liver. There is no contrast in the aorta.

Conventional CT: Hyperdense liver. There is no contrast in the aorta.

Iodine map: Intense iodine uptake in liver. This iodine is from the amiodarone.

Iodine map: Intense iodine uptake in liver. This iodine is from the amiodarone.

Quantification on a non-contrast CT: This is a fair amount of iodine.

Quantification on a non-contrast CT: This is a fair amount of iodine.


Gopal Punjabi