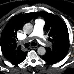
Saddle PE
Conventional CT shows saddle embolus.
Spectral image with perfusion overlay shows with extensive perfusion defects (normal perfusion is green).
Conventional CT shows saddle embolus.
Spectral image with perfusion overlay shows with extensive perfusion defects (normal perfusion is green).