Pyelonephritis
Right flank pain.
Routine CT shows very subtle hypodensity in right kidney.
Iodine map makes this much more obvious. E coli grew on urine culture.
Conventional CT
Iodine map
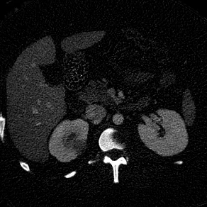
Right flank pain.
Routine CT shows very subtle hypodensity in right kidney.
Iodine map makes this much more obvious. E coli grew on urine culture.
Conventional CT
Iodine map