Truth in beauty and beauty in layers...

Cases

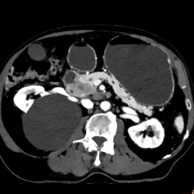
Pancreatic cancer

81 year old male with abdominal pain radiating to the back.

Pancreas mass spreading into the retroperitoneum better delineated on 45 keV image, the margin of the cancer is much easier to appreiate. Note dilated stomach from gastric outlet obstruciton.

Patient passed away in hospice shortly after exam.

Conventional CT, oblique axial

45 keV, oblique axial

Gopal PunjabiComment