Truth in beauty and beauty in layers...

Cases

Simple and easy

Young M presented to the ED after trauma. CT scan was obtained showing a large L adrenal mass. Small adjacent fat stranding too.

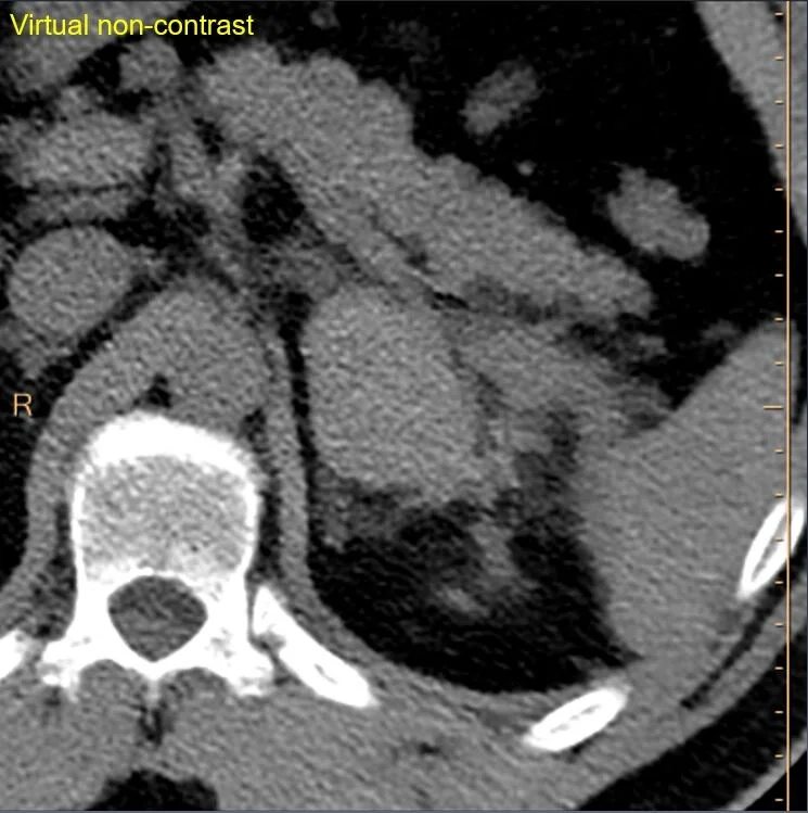
Spectral CT images show the “mass” is hyperdense on virtual non-contrast and has no iodine uptake. This is just a typical adrenal hematoma. On closer inspection, patient had a couple of rib fractures, but no other evidence of trauma.

Isolated adrenal hematomas following blunt trauma are not uncommon, and very simple diagnosis on spectral CT. We typically recommend follow-up to document resolution, and to rule out an underlying mass.

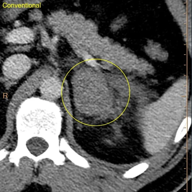
Conventional CT: Large left adrenal mass, about 60 HU. Typically read as “indeterminate”.

Conventional CT: Large left adrenal mass, about 60 HU. Typically read as “indeterminate”.

VNC: Mass remains hyperdense

VNC: Mass remains hyperdense

Iodine map: Absolutely NO uptake!

Iodine map: Absolutely NO uptake!

Iodine overlay confirms.

Iodine overlay confirms.

Gopal Punjabi