Truth in beauty and beauty in layers...

Cases

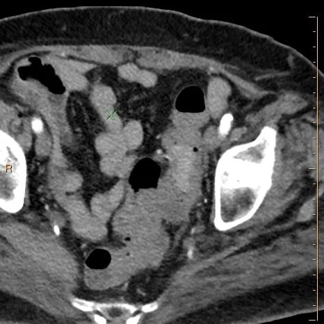
Can you find the mass?

68 year old female gets a screening colonoscopy. A sigmoid colon mass is discovered and biopsied. Patient is then sent to CT scan for staging. On conventional images it is very difficult to appreciate the sigmoid mass. Is it important to find the mass, or just look for metastasis?

I would argue it is very important to find the mass. Helps with looking for spread outside the wall, and find regional lymph nodes. Besides, it makes us look silly when we cannot find the mass.

So turn on Spectral CT, and the sigmoid colon mass lights up. Important to look good and do good!

Conventional CT: Can you really see the mass?

Conventional CT: Can you really see the mass?

40 keV monoE image: Now you cannot miss it!

40 keV monoE image: Now you cannot miss it!

Iodine map: So easy!

Iodine map: So easy!

Iodine overlay.

Iodine overlay.

Mass as seen on colonoscopy. This is a moderately differentiated adenocarcinoma.

Mass as seen on colonoscopy. This is a moderately differentiated adenocarcinoma.

Gopal Punjabi