Truth in beauty and beauty in layers...

Cases

It's all about the CNR!

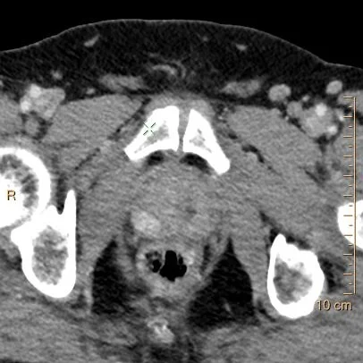
65 yo M presents with abdominal pain. Routine CT of the abdomen obtained, showing the usual cysts in kidneys and liver, diverticulosis and a mildly enlarged prostate. Look carefully, and there is a small enhancing nodule in the right posterior peripheral zone. This measures about 125 HU, as opposed to 75 HU in the left peripheral zone (standard deviation is about 15-20 HU). This is a ratio of about 1.66.

Now turn on spectral CT. Attenuation on virtual non-contrast is almost the same on both sides, so there is no calcification or hemorrhage. On the iodine map, the right posterior nodule has about 3.25 mg/mL of iodine, versus 0.94 mg/mL on the left side. This is a ratio of more than 3.

The nodule stands out like a lightbulb. This illustrates a great inherent strength of spectral imaging, where we can manipulate images to greatly increase contrast to noise ratio. Spectral curves add another level of information, and in this case, they are clearly very different.

Our patient had a biopsy, which confirmed Gleason 4 + 5 adenocarcinoma on the right involving more than 50% of the cores, with perineural spread.

So next time, when doing a routine staging CT for prostate cancer, look more carefully at the prostate with spectral CT. Next step after that will be to try and characterize lymph nodes with spectral CT.

Conventional CT: Enhancing nodule in the right PZ of the prostate

Conventional CT: Enhancing nodule in the right PZ of the prostate

Virtual non-contrast: Both sides look the same

Virtual non-contrast: Both sides look the same

Iodine map: The right PZ nodule is a lightbulb!

Iodine map: The right PZ nodule is a lightbulb!

Notice the difference in HU on conventional image: enough to be easily perceptible in this case, but will it be so on all cases?

Notice the difference in HU on conventional image: enough to be easily perceptible in this case, but will it be so on all cases?

Iodine map: So much more of a difference!

Iodine map: So much more of a difference!

Spectral curves: Normal prostate (magenta) and the cancer (blue) are clearly very different.

Spectral curves: Normal prostate (magenta) and the cancer (blue) are clearly very different.


Gopal Punjabi