Truth in beauty and beauty in layers...

Cases

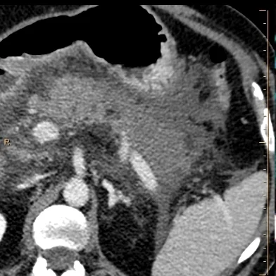
Pancreatitis

Conventional CT in portal venous phase shows pancreatitis with hypoenhancing body and tail.

Absent iodine uptake on the iodine map and fusion image, consistent with necrosis. Note the shape cutoff and the ease in appeciating necrosis.

CT from 4 weeks later shows large necrotic collection.

Conventional CT shows pancreatitis

Iodine map shows absent perfusion (outlined in yellow), consistent with necrosis in body and tail

Iodine map shows absent perfusion (outlined in yellow), consistent with necrosis in body and tail

Fusion image

CT few weeks later shows large necrotic collection (outlined)

CT few weeks later shows large necrotic collection (outlined)

Gopal PunjabiComment