Truth in beauty and beauty in layers...

Cases

Spectral CT: Like DWI, with CT

Routine followup CT on a 65 year old female with treated lung cancer. We read a bunch of these, and the interpretation is often “no significant change”, which is good news for the patient. Every exam deserves careful scrutiny, and spectral CT can very often add value in these cases.

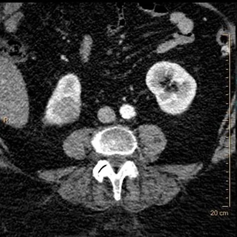
Careful look at the kidneys on conventional CT in this case might reveal lesions, but spectral CT makes them really easy to pick up.

Subsequent MRI showed these lesions were larger, and consistent with lung cancer metastasis. In many instances, Spectral CT is like DWI in body imaging: it can really make detection of lesions simple, and stop you from missing something that may be obvious in retrospect.

And, of course, picking up metastasis in a timely fashion, while bad news, is ultimately better for the patient.

Conventional CT: Do you see the lesion in lower pole of the right kidney?

Conventional CT: Do you see the lesion in lower pole of the right kidney?

Iodine map: So easy!

Iodine map: So easy!

Lesion nicely depicted on iodine overlay

Lesion nicely depicted on iodine overlay

Conventional CT: Do you see the lesion in upper pole of the right kidney?

Conventional CT: Do you see the lesion in upper pole of the right kidney?

Iodine map: The cortical defect is so easy to find!

Iodine map: The cortical defect is so easy to find!

Nicely depicted on iodine overlay.

Nicely depicted on iodine overlay.

MRI (DWI b800 with ADC map): lesions are larger. Spectral CT is like DWI in some ways, significantly enhances detection of lesions in body imaging.

MRI (DWI b800 with ADC map): lesions are larger. Spectral CT is like DWI in some ways, significantly enhances detection of lesions in body imaging.


Gopal Punjabi