Truth in beauty and beauty in layers...

Cases

The pleura, is it visible?

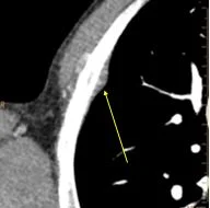
50 year old male presents after fall when inebriated. A CT scan was performed, shows a dense pleural-based nodule adjacent to the right 4th rib. The worry always is that it could be a pleural metastasis. Can spectral CT help?

On spectral, there is clear iodine uptake in the nodule. But look carefully, and you can resolve the pleural being displaced by the nodule, so the nodule is extra-pleural. Also, it is on both sides of the rib. A very subtle rib fracture is present. Ergo, this is a healing rib fracture with callus that shows up as an extra-pleural nodule.

Resolve micro-anatomy with spectral CT!

Conventional CT: Pleural based nodule (yellow arrow).

Conventional CT: Pleural based nodule (yellow arrow).

Iodine map: See the pleura lifted off the nodule (yellow arrows).

Iodine map: See the pleura lifted off the nodule (yellow arrows).

Z-effective map: See the pleura so well!

Z-effective map: See the pleura so well!

Oblique sagittal iodine map: enhancement is on both sides of the rib, consistent with callus

Oblique sagittal iodine map: enhancement is on both sides of the rib, consistent with callus

See the super-subtle rib fracture!

See the super-subtle rib fracture!


Gopal Punjabi