Truth in beauty and beauty in layers...

Cases

Mediastinal mass

Case courtesy of Dr. Prateek Sahgal.

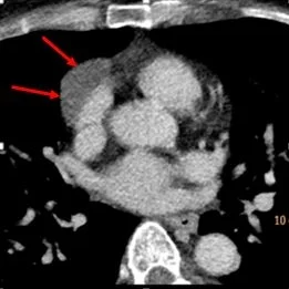
81 year old female with chest pain. Routine CT demonstrates a mediastinal mass that is indeterminate on attenuation measurement. Biopsy is requested.

Of course, spectral can help! The lesion shows no iodine uptake at all, and is therefore a simple cyst. A non-contrast MR of the chest quickly confirms the benign cystic nature.

As we gain more confidence with spectral imaging, we can avoid more expensive imaging and biopsy of lesions that show no iodine uptake. Protocols and interpretation will need to be more standardized, and it is important to be careful when interpreting noisy iodine maps.

Conventional CT: Anterior mediastinal "mass".

Conventional CT: Anterior mediastinal "mass".

Iodine map: No uptake in the "mass". This is certainly a benign cyst.

Iodine map: No uptake in the "mass". This is certainly a benign cyst.

Non-contrast MR (T2-weighted with fat sat): It is indeed a simple cyst!

Non-contrast MR (T2-weighted with fat sat): It is indeed a simple cyst!

Gopal Punjabi