Truth in beauty and beauty in layers...

Cases

Can you Dota-tate that?

47 year old female with history of gastric bypass admitted with abdominal pain. Routine CT obtained in the ED with IV contrast, shows enhancing mass in the porta hepatis, between the duodenum and the IVC. The differential is wide....

Spectral analysis reveals a small enhancing nodule in the gastric antrum with intense iodine uptake. This is very easy to overlook on conventional images.

My friend the IR doc does a transhepatic biopsy, and path comes back as carcinoid. A Ga-68 Dotatate PET scan confirms a gastric carcinoid, with uptake in the gastric submucosal nodule and the porta hepatis metastasis.

The lower keV images, with their ability to significantly enhance iodine, help quite a bit with visualizing enhancing tumors.

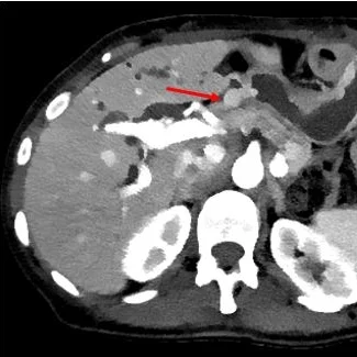
Conventional CT: Large mass (red arrows) in the porta hepatis. Note gastric bypass, biliary dilatation is chronic.

Conventional CT: Large mass (red arrows) in the porta hepatis. Note gastric bypass, biliary dilatation is chronic.

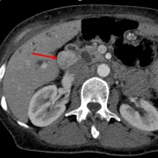
Conventional CT (axial plane): Mass in porta hepatis (red arrow).

Conventional CT (axial plane): Mass in porta hepatis (red arrow).

Conventional CT (axial plane): Do you see the gastric antral submucosal nodule?

Conventional CT (axial plane): Do you see the gastric antral submucosal nodule?

40 keV mono-energy image (axial plane): Intensely enhancing gastric antral submucosal nodule, consistent with carcinoid.

40 keV mono-energy image (axial plane): Intensely enhancing gastric antral submucosal nodule, consistent with carcinoid.

Oblique axial iodine map: Note intense uptake in the gastric submucosal nodule and the porta hepatis mass.

Oblique axial iodine map: Note intense uptake in the gastric submucosal nodule and the porta hepatis mass.

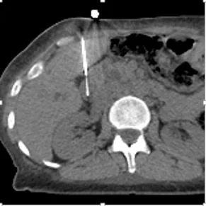
Transhepatic biopsy! Gastric bypass precludes endoscopic approach.

Transhepatic biopsy! Gastric bypass precludes endoscopic approach.

Gallium Dotatate PET scan: uptake in gastric submucosal nodule and the porta hepatis mass confirms neuroendocrine nature. Physiologic uptake in pituitary, spleen and liver.

Gallium Dotatate PET scan: uptake in gastric submucosal nodule and the porta hepatis mass confirms neuroendocrine nature. Physiologic uptake in pituitary, spleen and liver.

 

 

Gopal Punjabi