Truth in beauty and beauty in layers...

Cases

Find the hole!

46 year old female shot in left flank in a multiple shooting incident. No exit wound. Positive FAST exam.

Conventional CT shows left kidney injury and transection of the doudeno-jejunal junction with focal intussusception.

Bullet is retained in subcutaneous tissues of the left upper quadrant. But are there any other injuries?

The stomach wall looks very non-descript on conventional CT. Iodine map shows focal defect. A through and through gastric injury was confirmed on surgery, along with bowel injury. Primary repair of bowel injury and stomach and left nephrectomy was performed. Patient recovered uneventfully.

Bowel wall abnormalities are very well depicted using spectral CT. In this case, patient would have gone to surgery regardless, but it is important to make all findings on imaging, and bowel wall abnormalities may be an isolated finding.

Non-perfused left kidney with transected bowel at ligament of Trietz (red arrow)

Non-perfused left kidney with transected bowel at ligament of Trietz (red arrow)

Iodine overlay image nicely depicts left kidney injury and bowel injury

Iodine overlay image nicely depicts left kidney injury and bowel injury

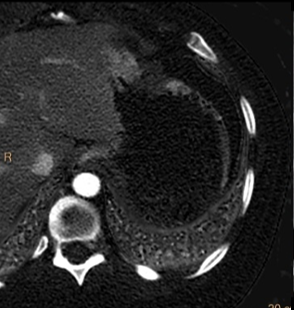
Bullet lodged in subcutaneous tissues

Bullet lodged in subcutaneous tissues

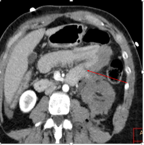
Conventional CT: Is the stomach wall okay? 

Conventional CT: Is the stomach wall okay? 

Iodine map: See the hole in the stomach!

Iodine map: See the hole in the stomach!

Stomach hole in nicely seen on iodine overlay (yellow circle)

Stomach hole in nicely seen on iodine overlay (yellow circle)

Gopal Punjabi