Truth in beauty and beauty in layers...

Cases

Renal pelvis: urothelial cancer or not?

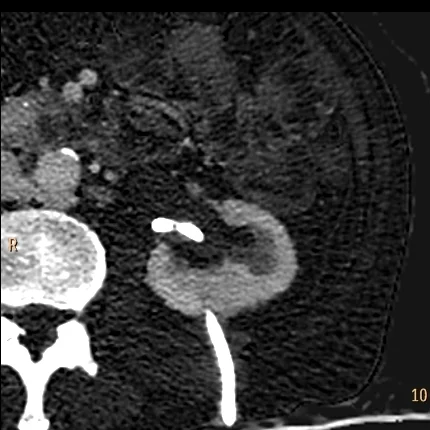
64 year old male with history of bladder cancer, presents with left flank pain. Nephrostomy tube in place, with bloody output. Routine CT of the abdomen performed with contrast shows a "filling-defect" in the left renal pelvis, attenuation about 68 HU. Is it tumor?

Spectral analysis shows high density material in the left renal pelvis on virtual non-contrast, without iodine uptake, consistent with hemorrhage. 

For a companion case, see this.

In the words of my resident "I take the spectral images for granted, as they are on PACS. In this case, I had the answer in seconds." Please, if you have a spectral capable scanner (regardless of vendor), incorporate spectral reconstructions into your PACS so they are available for review...

Conventional CT: Is that a mass in the left renal pelvis? Note the nephrostomy tube.

Conventional CT: Is that a mass in the left renal pelvis? Note the nephrostomy tube.

Virtual non-contrast: The filling defect is hyperdense

Virtual non-contrast: The filling defect is hyperdense

No iodine uptake, so this is clot.

No iodine uptake, so this is clot.

Iodine overlay image without perfusion in the left renal pelvis "filling defect" consistent with clot

Iodine overlay image without perfusion in the left renal pelvis "filling defect" consistent with clot

Notice large tumor in the urinary bladder

Notice large tumor in the urinary bladder

Gopal Punjabi