Truth in beauty and beauty in layers...

Cases

Lightbulb sign...

61 yo M presents with weight loss and anemia, hemoglobin of 4 mg/dL. Received 2 units of blood in the ED, and routine abdominal CT shows colon mass, and incidental aortic aneurysm. Pancreas reportedly normal.

On subsequent review, a subtle nodule is visible in the neck of the pancreas adjacent to the SMV. This is much better seen on 40 keV image and iodine map. Virtual non-contrast confirms lack of calcification in nodule.

Intraoperative ultrasound confirmed nodule, and after discussion with patient, a conservative course of action was adopted.

40 keV images can make pancreatic islet cell tumors (and any iodine avid lesion) shine like a lightbulb!

Conventional CT shows mass in cecum. Note incidental AAA.

Conventional CT shows mass in cecum. Note incidental AAA.

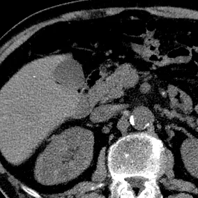
Axial image shows very subtle lesion in neck of the pancreas

Axial image shows very subtle lesion in neck of the pancreas

40 keV mono-energy image shows nodule in pancreas much more clearly. Lightbulb!

40 keV mono-energy image shows nodule in pancreas much more clearly. Lightbulb!

Iodine map with uptake in nodule

Iodine map with uptake in nodule

No calcification seen on virtual non-contrast image.

No calcification seen on virtual non-contrast image.

Gopal Punjabi