Truth in beauty and beauty in layers...

Cases

And the bowel began to pink up

66 year old male, with no past medical history (in fact, not been to a doctor since he was a child) presents with acute onset of abdominal pain. Afebrile, WBC count comes back at 9.7 k/cmm. A CT scan is performed.

On conventional images, there is a small bowel obstruction, with a beaked transition point in the pelvis, consistent with an adhesion. This should be, and most often would be, managed conservatively, with NG decompression and bowel rest.

But since look carefully at the spectral images, there is clear decreased iodine uptake near the transition point. This is very concerning for an ischemic loop, although likely not infarcted yet.

This patient needs to go to the OR, which is what happened, and here is what was found:

“The jejunum and proximal ileum were grossly distended with an area of significant erythematous discoloration with patchy purple areas along the mesentery which was fixed to adjacent mesentery by an adhesive band. The band was lysed with electrocautery and the bowel began to pink up.” No bowel was resected, and patient did fine.

Now if there was delay in going to the OR, the outcome could have been quite different. Spectral CT will save lives…..

Conventional CT, coronal plane: Distended stomach and small bowel. Note injected mesentery in right lower quadrant and small ascites.

Conventional CT, coronal plane: Distended stomach and small bowel. Note injected mesentery in right lower quadrant and small ascites.

Conventional CT, oblique axial. Note beak like transition point, consistent with adhesive small bowel obstruction.

Conventional CT, oblique axial. Note beak like transition point, consistent with adhesive small bowel obstruction.

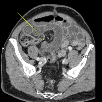
Conventional CT, oblique axial. Focus on distended bowel loop just before transition point, nothing striking about it.

Conventional CT, oblique axial. Focus on distended bowel loop just before transition point, nothing striking about it.

Corresponding iodine map, oblique axial. Clear iodine deficit! I compare loop to surrounding loops of similar size.

Corresponding iodine map, oblique axial. Clear iodine deficit! I compare loop to surrounding loops of similar size.

Gopal Punjabi