Truth in beauty and beauty in layers...

Cases

Myocardial ischemia at rest

84 year old male with history of pacemaker for sick sinus syndrome presents after syncope. Pacemaker interrogation shows ventricular tachycardia. A CT scan performed to evaluate for dissection shows a 4.9 cm abdominal aortic aneurysm.

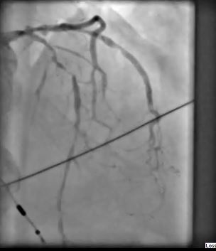
Closer look at spectral images shows hypo-perfusion in the left ventricular septum and apex. Subsequent coronary angiography showed severe 3-vessel disease with critical stenosis in the mid-LAD.

This patient would have received a cardiac workup regardless of spectral CT findings; nevertheless, this case illustrates how spectral CT can make obvious subtle findings that can be life-threatening.

Conventional CT: The left ventricular myocardium looks not particularly interesting

Conventional CT: The left ventricular myocardium looks not particularly interesting

Conventional CT: The septum shows slightly decreased attenuation, but hard to pick up from the noise

Conventional CT: The septum shows slightly decreased attenuation, but hard to pick up from the noise

Iodine map: Clear decreased iodine uptake in septum (1.4 mg/mL vs 2.7 mg/mL)

Iodine map: Clear decreased iodine uptake in septum (1.4 mg/mL vs 2.7 mg/mL)

Finding of septal hypoperfusion nicely depicted on iodine overlay

Finding of septal hypoperfusion nicely depicted on iodine overlay

Spectral curves show significant difference between septum (blue) and lateral wall (yellow)

Spectral curves show significant difference between septum (blue) and lateral wall (yellow)

Coronary angiogram: Critical stenosis of the LAD. Severe 3-vessel disease

Coronary angiogram: Critical stenosis of the LAD. Severe 3-vessel disease


Gopal Punjabi